La gonartrosi e’ una malattia degenerativa in cui cartilagine si deteriora e le ossa cominciano a sfregare le une sulle altre, nota anche come "artrosi del ginocchio" la quale limita la capacità di movimento, può presentarsi come primitiva o secondaria.
Tipologie e processo degenerativo
La gonartrosi primitiva è una condizione di cui non è nota la causa da cui scaturisce ma attualmente vengono considerati fattori determinanti il peso corporeo eccessivo, l’usura, l’invecchiamento delle diverse strutture articolari ed il sovraccarico funzionale.
L’artrosi secondaria deriva principalmente da postumi di fratture articolari del ginocchio, i malallineamenti (ginocchio varo e valgo), il disallineamento dell'apparato estensore, le instabilità (rottura inveterata dei legamenti crociati) e quindi trova una spiegazione come conseguenza di traumi significativi,i quali, comportando uleriori stress meccanici, possono contribuire ad accelerare la progressione della malattia.
La degenerazione nell’ambito della gonartrosi può colpire:
-
isolatamente il compartimento femoro-tibiale
-
l’articolazione femoro-rotulea
-
tutta l’articolazione(artrosi tricompartimentale)
Sintomatologia
Di norma i primi sintomi della gonoartrosi sono lievi, spesso intermittenti, quali il dolore, la progressiva riduzione della autonomia deambulatoria con eventuale zoppia, la rigidità articolare; molto spesso si associano progressiva deformità e tumefazione articolare(idrarto recidivante).
Inizialmente il dolore ha il caratteristico andamento a tre tempi: si presenta all’inizio della deambulazione, diminuisce con i primi passi e con il “riscaldamento” dell’articolazione per ricomparire sotto sforzo; progressivamente tende a divenire sempre più frequente presentandosi talora, nelle fasi più avanzate, anche a riposo. A impedire ancora di più il movimento vi sono poi le contratture muscolari intorno all'articolazione. Ne consegue che il soggetto tende a mantenere la gamba in adduzione e ad appoggiarla il meno possibile, assumendo un'andatura zoppicante. L'artrosi del ginocchio può condurre fino all'immobilità.
Diagnosi
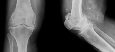
Oltre che sull'esame dei sintomi, la diagnosi della gonoartrosi si basa su un esame radiografico sotto carico il quale può confermare la diagnosi per la presenza dei segni radiografici tipici dell’artrosi cui corrispondono i relatici segni anatomo-patologici: diminuzione della rima articolare, osteofiti marginali, sclerosi dell’osso sub-condrale e cavità geodiche dell’osso sub-condrale.

In questi casi, in cui la gonoartrosi è in fase avanzata, sarebbero superfluo altri esami strumentali, i quali evidenziaranno l’usura e la degenerazione delle parti molli (cartilagine articolari e menischi).
Nelle fasi iniziali invece l’esame radiografico può risultare negativo poiché la patologia è ancora limitata all’ambito cartilagineo. In questi casi è consigliato quindi un esame strumentale più approfondito come la Risonanza Magnetica.
Cura e trattamento
La cura ed il trattamento della gonartrosi si può avvalere di una terapia medica, fisica e chirurgica.
Terapia Conservativa:
La terapia medica a base di farmaci analgesici ed antinfiammatori è utile nelle prime fasi (acute) della malattia, meglio se associata ad un controllo del peso corporeo. Non è stata dimostrata alcuna efficacia per i condro-protettori presi per via generale.
Efficace può risultare inoltre il trattamento sintomatico attraverso l’iniezione di farmaci steroidei a lento riassorbimento in grado di ridurre per un certo periodo il dolore. Controverso e dibattuto in ambito medico è invece l’uso intraarticolare di preparati ad acido ialuronico.
La terapia fisica, oltre alle varie forme di trattamento con agenti fisici quali termoterapia, ultrasuoni, laser ed elettroterapia può comprendere cure termali indicate per l'artrosi, perché il calore dell'acqua e l'esercizio muscolare hanno un effetto analgesico e un'azione benefica sulle ossa e deve comprendere un esercizio articolare mirante a mantenere un buon trofismo muscolare ed una buona elasticità dei tessuti periarticolari e conseguibili attraverso lo svolgimento di fisioterapia e sport. Il movimento articolare infatti facilita la circolazione del liquido sinoviale principale nutriente della cartilagine.
Chirurgica:
Quando alla terapia conservativa non consegue un adeguato risultato e beneficio (artrosi sintomatiche persistenti), la terapia chirurgica trova invece applicazione ed indicazione.
In ambito di gonoartrosi la terapia chirurgica si avvale di tre tipologie di interventi.
-
la toilette articolare artroscopica
-
l’osteotomia
-
l’artroprotesi.
Quando la patologia al ginocchio è ancora limitata all’ambito cartilagineo, abbiamo visto che gli esami Rx possono essere sono negativi e la RM documenta alterazioni condrali e/o meniscali con frammenti mobili o liberi in gradi di provocare disturbi meccanici limitativi del movimento. In questi casi (forme iniziali di gonoartrosi) può trovare indicazione la toilette artroscopica la quale consiste nella regolarizzazione delle superfici articolari, nel lavaggio con la rimozione dei detriti provenienti dallo sfaldamento.
L'intervento chirurgico della osteotomia consiste invece nel praticare una frattura e successivamente procedere immediatamente ad una osteosintesi, modificando l’allineamento del segmento chirurgico. La sede scelta per l’osteotomia al fine di correggere il varismo è la metafisi prossimale della tibia, la sede scelta invece per correggere il valgismo è la metafisi distale del femore. L'osteotomia, può trovare indicazione indicazione in quei casi in cui la patologia versa nelle fasi intermedie in soggetti giovani e attivi, con artrosi e deformità contenute.
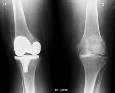
L'artroprotesi consiste un un intervento di protesi articolare e trova applicazione quando l'articolazione del ginocchio risulta rigida e compromessa in modo irrimediabile, rappresentando il trattamento definitivo dell’artrosi del ginocchio. Tale trattamento chirurgico consiste nell’asportazione di tutta la cartilagine articolare e di una sottile fetta di osso sub-condrale con contestuale impianto di componenti protesiche costituite da materiale inerte come metallo e plastica-polietilene.

In base alla tipologia, esistono varie tipologie di protesi :
-
monocompartimentali per le artrosi omonime,
-
bicompartimentali e tricompartimentali
-
con componente rotulea
Tutte le protesi possono essere fissate nell’osso con con l’ausilio di cemento acrilico ovvero con meccanismi ad incastro perfetto (press-fit). L'avanzare delle tecnologie in ambito medico ha introdotto una nuova tecnica chirurgica di impianto di protesi chiamata CAOS (computer assisted orthopaedic surgery) con la quale il posizionamento e l’allineamento delle componenti vengono migliorate sensibilmente rispetto alle metodologie tradizionali.